Phân tích cơ chế hoạt động của hàm All on 6 bắt vít và gắn xi măng
Sau khi sáu trụ Implant đã đạt được sự tích hợp xương hoàn hảo, quy trình phục hình giai đoạn cuối yêu cầu việc kết nối hàm răng sứ cố định lên các trụ này. Có hai phương thức liên kết chính được áp dụng rộng rãi trong nha khoa hiện đại là phục hình bắt vít (Screw-retained) và phục hình gắn xi măng (Cement-retained).
Phục hình bắt vít hoạt động dựa trên cơ chế kết nối trực tiếp hoặc gián tiếp thông qua các vít chuyên dụng xuyên qua hàm răng sứ để đi vào bên trong trụ Implant hoặc khớp nối Abutment.
Đặc điểm nhận dạng lâm sàng của loại này là sự hiện diện của các lỗ mở vít nhỏ trên bề mặt nhai của răng hàm hoặc mặt trong của răng cửa. Những lỗ này sau đó sẽ được che phủ bằng vật liệu Composite có màu sắc tương đồng với men răng để đảm bảo tính thẩm mỹ và chức năng.
Ngược lại, phục hình gắn xi măng sử dụng một quy trình tương tự như cách gắn mão răng sứ truyền thống trên răng thật. Đầu tiên, các cùi răng nhân tạo (Abutment) sẽ được bắt vít cố định vào trụ Implant. Sau đó, một hàm răng sứ được chế tác riêng biệt sẽ được “dán” lên các cùi răng này bằng một loại xi măng nha khoa chuyên dụng.
Cơ chế này tạo ra một sự liên kết dựa trên lực ma sát và độ bám dính của chất gắn, giúp bề mặt răng sứ hoàn toàn liền mạch và không có bất kỳ dấu vết nào của lỗ vít. Đối với người trung niên, sự lựa chọn giữa hai phương thức này không chỉ ảnh hưởng đến cảm giác ăn nhai mà còn quyết định sự thuận tiện trong việc chăm sóc sức khỏe răng miệng dài hạn.

So sánh tính thẩm mỹ giữa phục hình bắt vít và gắn xi măng
Tính thẩm mỹ luôn là ưu tiên hàng đầu của bệnh nhân khi thực hiện phục hình toàn hàm, đặc biệt là ở vùng răng cửa. Trong khía cạnh này, hàm All on 6 gắn xi măng được đánh giá cao hơn do cấu trúc răng sứ không bị gián đoạn bởi các lỗ mở vít. Bề mặt răng sứ được chế tác liền khối, cho phép ánh sáng xuyên thấu tự nhiên, tạo nên độ trong mờ và hình dáng giải phẫu tối ưu nhất.
Phương pháp này đặc biệt phù hợp cho những trường hợp bệnh nhân có đường cười cao hoặc yêu cầu khắt khe về diện mạo, vì nó loại bỏ hoàn toàn nguy cơ lộ vết trám Composite vốn có thể bị đổi màu theo thời gian dưới tác động của thực phẩm và đồ uống.
Tuy nhiên, phục hình bắt vít hiện nay đã có những cải tiến đáng kể để thu hẹp khoảng cách về thẩm mỹ. Nhờ sự hỗ trợ của công nghệ CAD/CAM, các lỗ vít được thiết kế ở những vị trí khuất hoặc nhỏ gọn hơn, giúp việc che phủ bằng Composite đạt độ tinh tế cao.
Mặc dù vẫn có một tỷ lệ nhỏ khả năng lộ vết trám khi quan sát cực gần, nhưng ở khoảng cách giao tiếp thông thường, sự khác biệt này gần như không đáng kể. Sự cân nhắc giữa vẻ đẹp hoàn mỹ của hàm gắn xi măng và tính tiện dụng của hàm bắt vít cần được thảo luận kỹ lưỡng dựa trên cấu trúc môi và nướu của từng bệnh nhân cụ thể để đạt được kết quả hài lòng nhất.

Tại sao viêm quanh Implant dễ xảy ra hơn ở hàm gắn xi măng?
Một trong những biến chứng đáng ngại nhất trong nha khoa Implant là tình trạng viêm quanh Implant (Peri-implantitis), và phương thức gắn xi măng được xác định là có rủi ro cao hơn trong khía cạnh này.
Theo các báo cáo từ Tạp chí Nha khoa Hoa Kỳ (JADA), xi măng dư thừa (residual cement) bị tràn xuống dưới nướu trong quá trình gắn hàm là tác nhân gây kích ứng cơ học và hóa học mạnh mẽ.
Do bề mặt của trụ Implant có cấu trúc ren phức tạp, việc làm sạch hoàn toàn xi măng dư ở sâu trong rãnh nướu là cực kỳ khó khăn. Lượng xi măng sót lại này sẽ trở thành nơi trú ngụ lý tưởng cho vi khuẩn, dẫn đến phản ứng viêm mãn tính, tiêu xương và cuối cùng là nguy cơ đào thải trụ Implant.
Ngược lại, phục hình bắt vít hoàn toàn loại bỏ được nguy cơ từ chất gắn hóa học vì liên kết hoàn toàn dựa trên cơ chế cơ học của vít Titan. Do không sử dụng xi măng, mô mềm xung quanh Implant có xu hướng lành thương tốt hơn và duy trì được trạng thái khỏe mạnh lâu dài.
Điều này đặc biệt quan trọng đối với đối tượng trung niên, những người có thể có hệ miễn dịch nướu nhạy cảm hơn hoặc đang mắc các bệnh lý nền như tiểu đường. Việc kiểm soát hoàn toàn môi trường sinh học xung quanh trụ Implant giúp tiên lượng của hàm All on 6 bắt vít trở nên ổn định và an toàn hơn trước các tác nhân gây nhiễm trùng cơ hội.

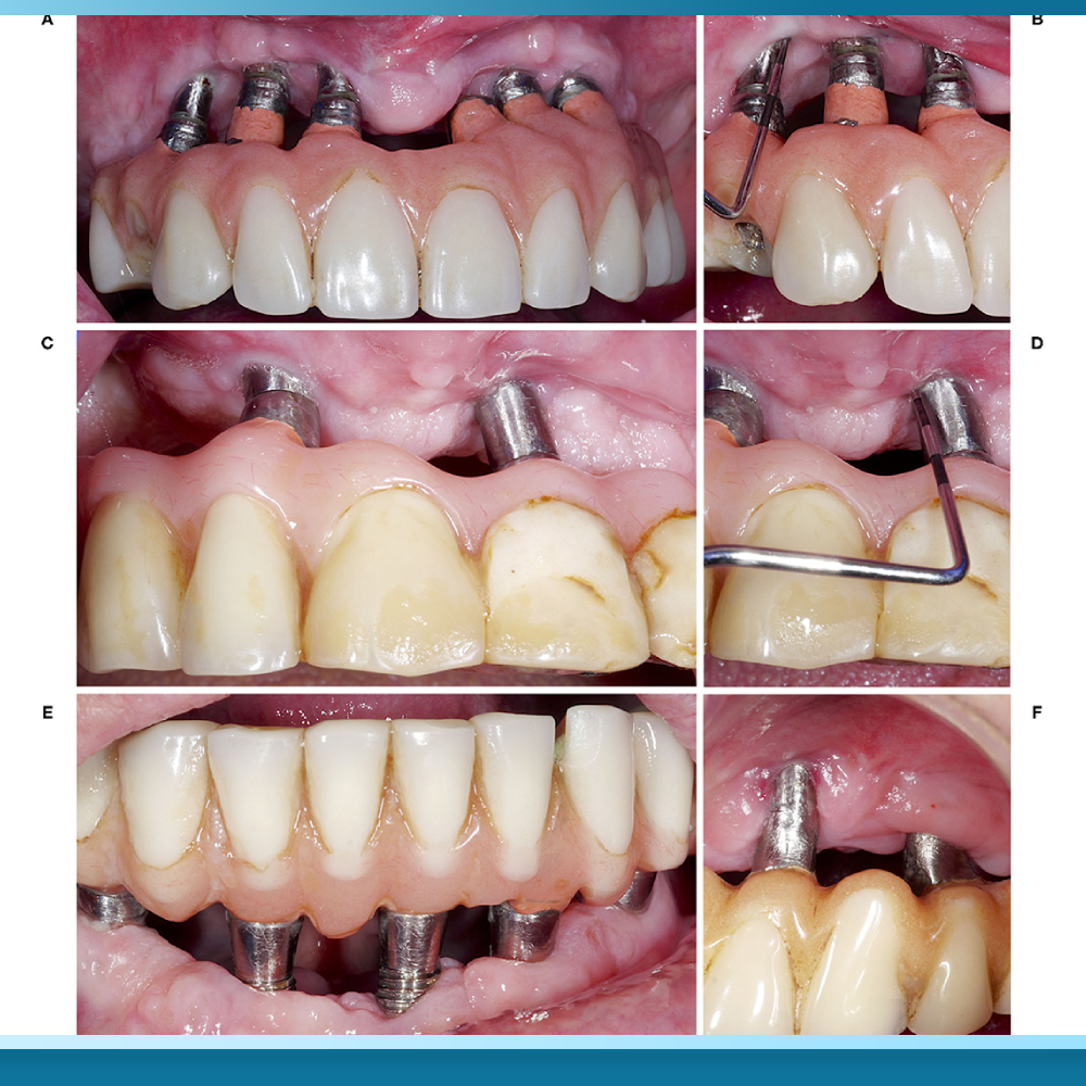
Quy trình bảo trì và vệ sinh định kỳ cho hàm All on 6 bắt vít
Khả năng tháo rời (Retrievability) là ưu điểm lớn nhất khiến phục hình bắt vít trở thành tiêu chuẩn vàng cho các ca Implant toàn hàm như All on 6. Trong quá trình sử dụng lâu dài, việc tháo hàm để vệ sinh định kỳ 1-2 năm/lần là yêu cầu bắt buộc để kiểm tra tình trạng của các trụ Implant và làm sạch các mảng bám tích tụ phía dưới hàm giả mà bàn chải thông thường không thể tiếp cận.
Với hàm bắt vít, bác sĩ chỉ cần mở lớp Composite che phủ và tháo vít để nhấc toàn bộ hàm răng sứ ra một cách nhẹ nhàng, sau đó gắn lại mà không làm tổn hại đến cấu trúc của cả Implant lẫn hàm sứ.
Đối với hàm gắn xi măng, việc tháo rời là một thách thức lớn và thường dẫn đến hư hỏng phục hình. Do xi măng nha khoa có độ bám dính rất bền, việc cố gắng cạy hoặc khoan để tháo hàm sứ có thể gây ra áp lực lớn lên trụ Implant hoặc làm nứt vỡ lớp sứ bên ngoài.
Trong trường hợp cần sửa chữa hoặc xử lý viêm nhiễm, bác sĩ đôi khi phải phá bỏ toàn bộ hàm cũ để làm lại hàm mới, gây tốn kém chi phí và thời gian cho bệnh nhân. Do đó, xu hướng hiện đại của các tổ chức uy tín như Viện Hàn lâm Nha chu Hoa Kỳ (AAP) thường ưu tiên phục hình bắt vít cho các ca toàn hàm để đảm bảo tính linh hoạt trong công tác bảo trì và xử lý biến chứng phát sinh.

Lời khuyên từ chuyên gia: Nên chọn kết nối nào cho Implant toàn hàm?
Việc quyết định giữa hai phương thức kết nối All on 6 không chỉ dựa trên sở thích cá nhân mà còn phụ thuộc vào các chỉ số lâm sàng cụ thể. Khoảng phục hình (Inter-occlusal space) – tức là khoảng trống giữa hai hàm – đóng vai trò quyết định; nếu khoảng này quá ngắn, hàm bắt vít sẽ chiếm ưu thế vì nó không đòi hỏi chiều cao cùi răng lớn như hàm gắn xi măng.
Ngoài ra, hướng của trụ Implant cũng rất quan trọng. Nếu trụ Implant được đặt ở góc quá nghiêng và lỗ vít bị lộ ra mặt ngoài của răng cửa, bác sĩ có thể buộc phải sử dụng hàm gắn xi măng hoặc các loại Abutment chuyển hướng (Angulated Screw Channel) để đảm bảo thẩm mỹ cho bệnh nhân.
Tóm lại, mặc dù mỗi phương pháp đều có những chỗ đứng riêng trong lịch sử nha khoa, nhưng phục hình bắt vít đang dần khẳng định vị thế ưu việt trong điều trị All on 6 nhờ tính an toàn sinh học và khả năng bảo trì dễ dàng. Lời khuyên cho bệnh nhân trung niên là nên ưu tiên lựa chọn phương thức bắt vít nếu điều kiện giải phẫu cho phép, nhằm đảm bảo sự bền vững của khoản đầu tư sức khỏe này.
Quan trọng nhất vẫn là việc lựa chọn một đội ngũ bác sĩ có tay nghề cao và hệ thống phòng Labo chính xác, vì sự thành công của phục hình bắt vít đòi hỏi một sự trùng khớp hoàn hảo đến từng micron giữa các lỗ vít trên hàm và vị trí của các trụ Implant trong xương hàm.

Bảng tổng hợp ưu và nhược điểm:
| Tiêu chí | Hàm All on 6 bắt vít | Hàm All on 6 gắn xi măng |
| Thẩm mỹ | Khá (có thể lộ vết trám nhỏ) | Xuất sắc (liền mạch, tự nhiên) |
| Sửa chữa | Rất dễ dàng, tháo lắp nhanh | Rất khó khăn, thường phải làm lại |
| Viêm nhiễm | Nguy cơ thấp, an toàn cho nướu | Nguy cơ cao do xi măng dư thừa |
| Độ chính xác | Yêu cầu kỹ thuật Labo cực cao | Yêu cầu kỹ thuật gắn hàm khéo léo |
| Chi phí | Thường cao hơn do linh kiện phức tạp | Thường thấp hơn trong ngắn hạn |
Danh sách câu hỏi thường gặp (FAQs):
Hàm bắt vít có bị lỏng vít sau một thời gian sử dụng không?
Có một tỷ lệ nhỏ vít có thể bị lỏng do lực nhai quá tải hoặc nghiến răng. Tuy nhiên, việc xử lý rất đơn giản bằng cách siết lại vít theo đúng lực định mức (torque) mà không gây ảnh hưởng đến cấu trúc hàm.
Lỗ vít trên răng có bị đổi màu hay dễ bong tróc không?
Vật liệu Composite trám lỗ vít có thể bị nhiễm màu nhẹ sau nhiều năm do thực phẩm. Tuy nhiên, bác sĩ có thể dễ dàng thay thế lớp trám này trong các buổi khám định kỳ để duy trì thẩm mỹ như mới.

Nếu hàm gắn xi măng bị hỏng thì có phải khoan bỏ toàn bộ không?
Trong phần lớn trường hợp, do lực liên kết của xi măng quá mạnh, việc tháo hàm giả mà không làm nứt sứ là rất khó. Thường thì bác sĩ sẽ phải cắt bỏ hàm sứ cũ và chế tác lại hàm mới nếu có vấn đề nghiêm trọng bên dưới.